She learned courage isn’t the absence of fear, it’s the moment you trust your voice, ask one more question, and choose yourself anyway. The room was bright and cold when the doctor slid the ultrasound probe along her neck and pointed at the screen. “Right there,” he said, calm but clear. She already knew before he finished: there was a tumor in her throat. The word hung in the air. She tried not to cry, wanting to look strong, but inside, everything shook. Months earlier, she noticed a small lump while preparing for the day. The family said it was probably a cyst, and two doctors agreed after quick checks. Their certainty should’ve eased her mind, but it didn’t. Something felt off. She worried she was being dramatic and wasting money and time, but the lump stared back at her in the mirror each morning, asking for an honest answer.

She went to a third specialist and kept it to herself, afraid of hearing she was overreacting again. This doctor was different. He explained the risks carefully: drooping eyelid, dilated pupil, trouble lifting her arm, possible vocal cord damage, and numbness on one side of her face. It didn’t look like cancer, he said, but only surgery could be sure. She nodded as if she understood, then stepped into the hallway and broke down, riding the elevator from the 20th floor to the crowded lobby, where she hid in a single-stall bathroom and sobbed.

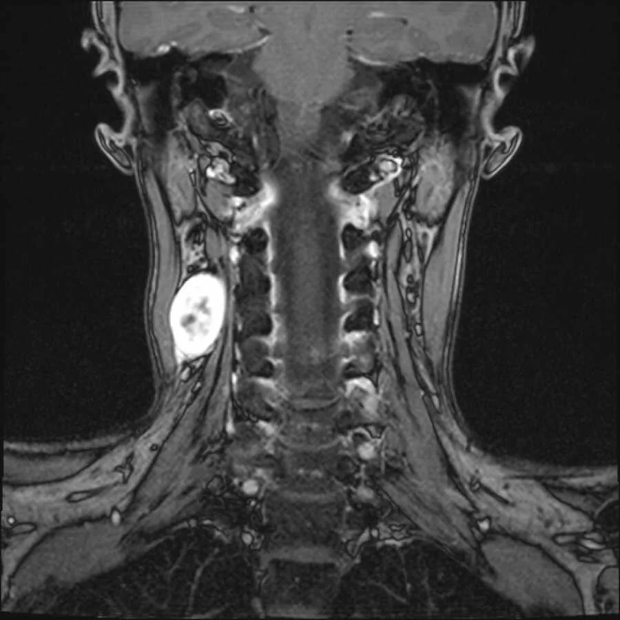
The diagnosis was a nerve sheath tumor, often benign, but tricky because it grows from the protective covering of nerves. That placement makes surgery hard; delay can press on nerves or the spinal cord. Since she had no significant symptoms yet, doctors suggested monitoring. So began years of MRIs, bills, and quiet fear. The tumor grew more than 20%, and although scans showed growth, they couldn’t say exactly which nerves were involved. Surgery became inevitable. Nerves could be irritated even if not cut; recovery could be slow or uncertain. She marked a date: December 29, 2021.

She chose Mayo Clinic and a neurosurgeon who agreed it was time. On the drive there with her mom, she posted a short video about the upcoming surgery. She worried people might judge her, or think she was making a fuss. But she had been practicing courage, graduating from esthetics school, learning to show up, wanting to build a business one day. Courage is action while afraid, she told herself. The night before surgery, she lifted her right arm and snapped a photo, a small act of defiance. There was a chance she might never do that again. The next morning, she felt strangely calm. Whatever came after, she would handle it one step at a time. Her mom and fiancé were there; that was enough.
Surgery went better than expected. The tumor, a benign schwannoma, was removed with minimal damage. She had some numbness along her jaw, neck, and ear, like the fading buzz of dental anesthetic, but she could live with that. She exhaled for what felt like the first time in years. Then her video took off. Thousands, then millions, watched. Instead of judgment, she found kindness: prayers, messages from survivors, and notes from people finally making their doctor appointments.

One woman with the same kind of tumor called her; poor care had left that woman struggling to speak and swallow. But seeing the video was a sign to share her own story. That connection healed both of them a little. Looking back, the lessons are simple: know your body; keep asking questions; see the best experts you can; bring someone you trust to help sort through the noise; and remember that while illness steals control, your choices still matter.










